সোমবার ২৯ ডিসেম্বর ২০২৫
সম্পূর্ণ খবর
আকাশ দেবনাথ | ০২ অক্টোবর ২০২৫ ১৫ : ০৪Akash Debnath
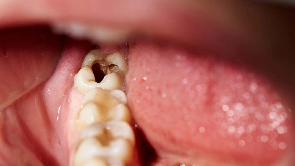
আজকাল ওয়েবডেস্ক: দাঁতে অসহ্য যন্ত্রণা বা শিরশিরানি? অবহেলা করছেন? এই সমস্যাই কিন্তু ক্যাভিটি বা দন্তক্ষয়ের প্রাথমিক লক্ষণ হতে পারে। দাঁতের যত্ন নিয়ে আমরা কমবেশি সকলেই সচেতন। কিন্তু তা সত্ত্বেও ক্যাভিটির সমস্যায় ভোগেন না, এমন মানুষ খুঁজে পাওয়া ভার। আমাদের রোজকার জীবনযাত্রা এবং বিশেষ করে খাদ্যতালিকাই এর জন্য মূলত দায়ী।

অনেকেই ভাবেন, কেবল চকোলেট বা মিষ্টি খেলেই বুঝি দাঁতের ক্ষতি হয়। দন্তচিকিৎসকদের মতে, এই ধারণা সম্পূর্ণ ঠিক নয়। এমন অনেক খাবার আমাদের রোজকার পাতে থাকে, যা অজান্তেই দাঁতের এনামেলের বর্ম ভেদ করে ডেকে আনে বিপদ। মুখের ভিতরের ব্যাকটেরিয়া এই খাবারগুলির শর্করাকে ব্যবহার করে এক ধরনের অ্যাসিড তৈরি করে, যা ধীরে ধীরে দাঁতের উপরের শক্ত আস্তরণ বা এনামেলকে ক্ষয় করতে শুরু করে। এর ফলেই তৈরি হয় গহ্বর বা ক্যাভিটি।
আসুন দেখে নেওয়া যাক, কোন কোন খাবার রয়েছে এই ষড়যন্ত্রের নেপথ্যে।
১। চিপস এবং ময়দার তৈরি খাবার: আলুর চিপস, পাউরুটি, বিস্কুট বা ময়দার তৈরি যে কোনও নোনতা খাবার খাওয়ার সময় আমরা মিষ্টির মতো অতটা সতর্ক থাকি না। কিন্তু এই স্টার্চ বা শ্বেতসার জাতীয় খাবার মুখের লালার সঙ্গে মিশে খুব দ্রুত শর্করায় পরিণত হয়। এগুলি দাঁতের খাঁজে দীর্ঘক্ষণ আটকে থাকে এবং ব্যাকটেরিয়ার বংশবৃদ্ধিতে সাহায্য করে, যা ক্যাভিটির অন্যতম প্রধান কারণ।
২। কোল্ড ড্রিঙ্ক এবং প্যাকেটজাত ফলের রস: এই পানীয়গুলি ‘ডবল অ্যাটাক’ করে। প্রথমত, এতে চিনির পরিমাণ বেশি থাকে। দ্বিতীয়ত, এগুলিতে থাকা সাইট্রিক এবং ফসফরিক অ্যাসিড সরাসরি দাঁতের এনামেলের ক্ষতি করে। একবারে অনেকটা খাওয়ার চেয়ে, সারাদিন ধরে অল্প অল্প করে এই পানীয়গুলি খেলে দাঁতের ক্ষতি হওয়ার আশঙ্কা আরও বেড়ে যায়।
৩। আঠালো ক্যান্ডি ও টফি: লজেন্স, টফি বা চুইংগামের মতো আঠালো মিষ্টি খাবার দাঁতের সবচেয়ে বড় শত্রু। এগুলি দাঁতের সঙ্গে এমনভাবে আটকে থাকে যে, সাধারণ কুলকুচিতেও যেতে চায় না। ফলে দীর্ঘ সময় ধরে ব্যাকটেরিয়া অ্যাসিড তৈরির সুযোগ পেয়ে যায়।
৪। শুকনো ফল (ড্রায়েড ফ্রুটস): কিশমিশ, এপ্রিকট বা এই জাতীয় শুকনো ফলকে স্বাস্থ্যকর মনে হলেও, এগুলি আসলে চিনির ঘনীভূত রূপ। পাশাপাশি এগুলি বেশ আঠালো হওয়ায় দাঁতের খাঁজে আটকে গিয়ে ক্যাভিটির ঝুঁকি বাড়িয়ে তোলে।
৫। অতিরিক্ত টক জাতীয় ফল ও ভিনিগার: লেবু, আঙুর বা অতিরিক্ত টক জাতীয় ফলে প্রচুর পরিমাণে অ্যাসিড থাকে, যা দাঁতের এনামেলকে দুর্বল করে দেয়। একই ভাবে স্যালাডে ব্যবহৃত ভিনিগার বা আচারের অম্লতাও দাঁতের জন্য ক্ষতিকর হতে পারে। দুর্বল এনামেলে ক্যাভিটি হওয়ার আশঙ্কা কয়েক গুণ বেড়ে যায়।
কী করণীয়?
দন্তবিশেষজ্ঞদের মতে, এই ধরনের খাবার খাওয়ার পরেই মুখ ভাল করে জল দিয়ে কুলকুচি করে নেওয়া জরুরি। শ্বেতসার বা মিষ্টি জাতীয় খাবার খাওয়ার অন্তত ৩০ মিনিট পর ব্রাশ করার অভ্যাস করুন। মিষ্টি পানীয় স্ট্র দিয়ে খেলে তা দাঁতের সংস্পর্শে কম আসে। আর সবচেয়ে বড় কথা, নিয়মিত দু'বেলা ব্রাশ, ফ্লসিং এবং বছরে অন্তত একবার চিকিৎসকের পরামর্শ নেওয়া আবশ্যক। সুতরাং, দাঁত থাকতে দাঁতের মর্ম বুঝুন। খাদ্যতালিকা সম্পর্কে সামান্য সচেতনতাই পারে আপনাকে ক্যাভিটির যন্ত্রণা থেকে দূরে রাখতে।
নানান খবর
এবার রুপো বন্ধক রেখেও মিলবে ঋণ, জেনে নিন খুঁটিনাটি
হ্যালোউইনের সন্ধ্যায় ‘সবথেকে মিষ্টি ভ্যাম্পায়ার’-এর সন্ধান দিলেন আয়ুষ্মান, দেখলে মন গলবে আপনারও
কলকাতায় ম্যানহোল থেকে পচা গলা দেহ উদ্ধার! ঘটনা ঘিরে চরম চাঞ্চল্য, আতঙ্কে এলাকাবাসী
নির্ভুল ভোটার তালিকা তৈরির দাবিতে কমিশনকে ১৩ দফা চিঠি মহম্মদ সেলিমের
স্ত্রীর প্রসবের সময়ে এ কী কাণ্ড? হাসপাতালেই মামাকে পিটিয়ে মারল যুবক, হাড়হিম ঘটনা এই শহরে
কলকাতা চলচ্চিত্র উৎসবে সুমন মৈত্রর 'অ২', ছবিতে ঋত্বিক-যোগ প্রসঙ্গে কী জানালেন পরিচালক?
ভারত জিতলে জেমাইমার গিটারের সুরের সঙ্গে তাল মিলিয়ে গান গাওয়ার আবদার জুড়লেন সানি
৪ নভেম্বর থেকে এসআইআর ক্যাম্প তৃণমূলের, বিএলও-কে এক মিনিটও একা না ছাড়া যাবে না, ভার্চুয়াল বৈঠকে নির্দেশ অভিষেকের
ছিলেন ক্রিকেটার, অধিনায়ক ও সাংসদ, এবার মন্ত্রীও হয়ে গেলেন আজহার
পাহাড়ে প্রবল বৃষ্টি, দুধিয়ার হিউম পাইপ সেতুর নিচে ফুলে উঠছে বালাসন খোলা নদী, বাড়ছে বন্যার আশঙ্কা
রণবীরের স্ত্রী হয়েও কাপুর পরিবারে একঘরে আলিয়া? এক পোস্টে তোলপাড় চারদিক, শুরু নয়া বিতর্ক
বাঙালিয়ানাকে দৃঢ়ভাবে হাতিয়ার করেই বদলাচ্ছে ‘হইচই’, ‘বোল্ডলি বাঙালি’-র উদ্যোগে সামিল কোন কোন তারকা?
সোনামণিকে 'স্পেশাল' তকমা দিলেন প্রতীকের মা! খুব তাড়াতাড়িই প্রেম পরিণতি পেতে চলেছে জুটির?
‘কোচের একটা কথাই বদলে দিয়েছিল মানসিকতা’, অকপট হরমন
ধস নামালেন জস, মেয়েদের ইতিহাস গড়ার পরের দিনই অস্ট্রেলিয়ার কাছে ল্যাজেগোবরে হল টিম ইন্ডিয়া
পাকিস্তানের পাশে চীন, সমস্যায় পড়তে পারে ভারত
ভারত–অস্ট্রেলিয়া সেমিফাইনালে রেকর্ডের ছড়াছড়ি, জেমাইমাই গড়লেন একগুচ্ছ নজির
এখনও কাপ পাননি সূর্যরা, এরই মধ্যে আরও একটি এশিয়া কাপ চলে এল
ভারতের কাছে হারের পরেই অবসরের ইঙ্গিত অজি অধিনায়কের
যে মেয়েটা বিয়ে না করে ফুটবলার হতে চায়, তার চোখে সন্ধ্যাতারা হয়ে ফুটুন জেমাইমা
নিউরো সার্জারিতে নতুন দিশা, ইন্টারভেনশনাল রেডিওলজিতে লাগছে না কাটাছেঁড়া, বিনা অস্ত্রোপচারেই সারছে মস্তিষ্কের জটিল রোগ
২০০২ সালের ভোটার তালিকা খুঁজছেন? রাজ্যের সিইও দপ্তরের ওয়েবসাইট নিষ্ক্রিয়, তাহলে পাবেন কোথায়? রইল হদিশ
‘ইন্ডাস্ট্রির বৃহত্তর স্বার্থের জন্য নিজের স্বার্থের কথা ভাবলে চলে না’ বড়দিন থেকে নিজের ছবি পিছনো নিয়ে আর কী বললেন শিবপ্রসাদ?
সলমনের 'ভয়ে' কেন পিছু হটেছিলেন প্রভাস? এবার 'মঞ্জুলিকা' হবেন অনন্যা পাণ্ডে?